 |
|
|
Wenn Sie häufig Kopfschmerzen, Probleme bei der Mundöffnung und beim Kauen oder Knackgeräusche im Kiefergelenk haben, kann es sein, dass Sie unter einer Funktionsstörung des Kauorgans, dem so genannten Kiefergelenksyndrom leiden. Diese Erkrankung tritt in unserem Kulturkreis recht häufig auf. Untersuchungen haben ergeben, dass ca. 5 bis 10 Prozent der deutschen Bevölkerung an dieser Erkrankung leiden. Interessanterweise sind 80 Prozent der Patienten weiblich. Die Erkrankung tritt meistens im Alter von 20 bis 40 Jahren auf. Die in der Fachsprache als kraniomandibuläre Dysfunktion (CMD) bezeichnete Erkrankung ist weder bösartig noch gefährlich (man kann damit 100 Jahre alt werden). Dennoch ist diese Störung oft schmerzhaft und kann langfristig sogar zu Verschleißerscheinungen am Kiefergelenk führen. Im Zusammenspiel von im Wesentlichen fünf Muskelpaaren, dem linken wie rechten Kiefergelenk und einem komplexen Band- und Gelenkkapselapparat sind wir in der Lage, den Mund zu öffnen und den Unterkiefer zur Seite und nach vorn zu bewegen. Störungen in diesem System können zu Schmerzen in der Kaumuskulatur und im Kiefergelenk führen. Außerdem kann es passieren, dass die Mundöffnung eingeschränkt wird oder Geräusche im Kiefergelenk (Knacken, Reiben) auftreten. Die Ursachen für diese und eine Reihe weiterer Krankheitszeichen im Kopf-, Nacken- und Schulterbereich können in einer Über- oder Fehlbelastung der Kaumuskulatur und der Kiefergelenke liegen. Leider werden diese Beschwerden oft gar nicht oder falsch diagnostiziert und bleiben unbehandelt.

|
|
|

|
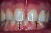
Jeder von uns reagiert anders auf übermäßigen Stress. Manche Menschen bekommen ein Magengeschwür, andere Bluthochdruck und manche Menschen knirschen mit den Zähnen. Stress, so wird heute allgemein angenommen, ist die Hauptursache für das Zähneknirschen. Weitere Gründe können eine Fehlstellung des Bisses und fehlerhafte Zahnkontakte sein. Bei einer normalen Funktion des Kauorgans befinden sich die Zähne zum Kauen oder beim Schlucken im Verlaufe des Tages ca. 15 Minuten miteinander in Kontakt. In der verbleibenden Zeit kann sich die Kaumuskulatur entspannen, die Zähne berühren sich nicht. Die Folge des Bruxismus, wie das Zähneknirschen in der Fachsprache auch genannt wird, ist die übermäßige Abnutzung und Verletzung der Zähne. Dadurch kann der Zahnschmelz zerstört werden, die Zähne werden empfindlich. Anzeichen für diese Angewohnheit ist die oft deutlich sichtbare Abnutzung der Zähne (erste Anzeichen finden sich oft im Bereich der Eckzahnspitzen und der Schneidekanten der Frontzähne) (siehe Abb. rechts). Bei nächtlichem Knirschen fühlt sich der Kiefer morgens nach dem Aufwachen oft steif und ermüdet an, die Mundöffnung ist eingeschränkt. Wenn sich die Beschwerden über den Tag verschlimmern, knirschen Sie auch am Tage unbewusst mit den Zähnen. Außerdem können durch die hohe Belastung während des Knirschens Beschwerden in den Kiefergelenken und der Kaumuskulatur auftreten.
Weitere Ursachen für diese Beschwerden können Angewohnheiten sein, die die Kaumuskulatur dauerhaft überlasten oder eine unnatürliche Stellung des Unterkiefers verursachen. Dazu gehören das Kauen auf Fingernägeln oder Schreibgeräten, übermäßiges Kaugummikauen, das Schlafen auf dem Bauch oder eine häufige Fehlhaltung des Kopfes. Beschwerden treten auch infolge einer schlechten Sitzhaltung auf und gehen in der Regel mit spürbaren Verspannungen im Bereich der Nackenmuskulatur einher. Schließlich können auch traumatische Einflüsse, wie ein Schlag auf das Kinn, ein Schleudertrauma, lang andauerndes Mundöffnen beim Zahnarzt oder bei einer Intubationsnarkose zu den oben beschriebenen Beschwerden führen.
|
|
Die Untersuchung der Kiefergelenke erfolgt im Gegensatz zu anderen Gelenken nicht durch den Orthopäden, sondern durch den Zahnarzt.
Im Rahmen der so genannten klinischen Funktionsanalyse werden die Ursachen für die Fehlfunktion ermittelt, der Umfang der Funktionsstörung und die Schmerz auslösenden Strukturen erfasst, sowie Fehlstellungen der Kiefer und der Zähne analysiert (Abb. rechts). Neben Röntgenaufnahmen kann die Modellanalyse im Kausimulator (Artikulator) notwendig werden. In Sonderfällen unterstützen die Magnetresonanztomografie (MRT) zur Darstellung des Gelenkinneren oder die Gelenkspiegelung (Arthroskopie) den Behandler bei der Feststellung der richtigen Diagnose.
Ähnlich wie bei Beschwerden im Rücken oder Nacken können auch in der Kaumuskulatur Verspannungen zu Schmerzen führen. Im Rahmen der Funktionsanalyse werden schmerzhafte Gebiete der beteiligten Muskeln, Sehnen und Bänder durch Palpation (lat.: Abtasten) oder Belastungstests ermittelt. Weiterhin wird der Bewegungsumfang des Unterkiefers bei Mundöffnung und Seitwärtsbewegungen gemessen. Eventuelle Bewegungseinschränkungen werden notiert. Besonderes Augenmerk gilt der Funktion der Kiefergelenke. Neben der Prüfung der Schmerzhaftigkeit der Gelenkkapsel werden auftretende Geräusche festgehalten und vorhandene Abweichungen oder Hindernisse bei der Bewegung des Kiefergelenkköpfchens auf der Gelenkbahn ermittelt. Schließlich werden die Kontaktverhältnisse der Zähne des Ober- und Unterkiefers im Munde untersucht.
Bei der instrumentellen Funktionsanalyse wird die Untersuchung der Kontaktverhältnisse der Zähne zueinander in einem Kausimulator (Artikulator) vorgenommen. Mit Hilfe spezieller Registrate werden Gipsmodelle der Ober- und Unterkieferzähne in das Gerät einartikuliert (Abb. rechts). Nun können die Kontakte der Zähne bei normalem Zusammenbiss und in der Ideallage für Kiefergelenke und Kaumuskulatur (Zentrik) analysiert und Schlussfolgerungen für die weitere zahnärztliche Therapie gezogen werden.
Bitte beachten Sie, dass die Kosten für die Funktionsanalyse grundsätzlich nicht von den gesetzlichen Krankenkassen übernommen werden.
|
|
Ein einfaches und sehr wirkungsvolles Behandlungsmittel zur Vorbeugung und Behandlung von Kiefergelenksbeschwerden ist die so genannte Aufbissschiene.
Neben dem Schutz der Zähne vor weiterer Abnutzung kann eine Aufbissschiene die Belastung der Kiefergelenke reduzieren, Verspannungen in der Kaumuskulatur lösen und so eine zeitweise oder andauernde Reduzierung der Knirschaktivität erreichen. Bei der Eingliederung der Schiene muss darauf geachtet werden, dass diese Unterkieferposition auch bei Zahnkontakt auf dem Kunststoff beibehalten wird (Abb. rechts). Aus diesem Grunde wird die Schiene sorgfältig eingeschliffen (adjustiert). Bei nächtlicher Bruxismusaktivität und zur Vorbeugung wird die Schiene nachts getragen. Bei besonders akuten Fällen oder Knirschaktivität am Tage muss die Schiene vorübergehend rund um die Uhr getragen werden. Die richtigen Zahnkontakte und der Heilungsverlauf werden durch den Zahnarzt regelmäßig kontrolliert.
|
|
Was können Sie selber tun ...
... wenn Sie mit den Zähnen knirschen oder pressen?
Halten Sie Ihre Lippen geschlossen aber die Zähne auseinander. Die Zähne sollen sich nur beim Kauen oder Schlucken berühren, das sind höchstens 15 Minuten am Tag. Malen Sie ein rotes Kreuz oder einen schwarzen Punkt auf ein weißes Stückchen Papier oder nehmen sie auffällige Aufkleber und kleben Sie diese auf Gegenstände in ihrer Umgebung. Dazu eignet sich zum Beispiel die Armbanduhr, der Monitor Ihres Computers, der Autorückspiegel oder das Handy (Abb. rechts). Immer wenn Sie den Aufkleber sehen, kontrollieren Sie die Stellung Ihrer Zähne zueinander. Sollten Sie sich mit zusammengebissenen Zähnen ?ertappen?, öffnen Sie den Mund für ca. 10 Sekunden weit. Anschließend schließen Sie entspannt den Mund und achten darauf, dass sich die Zähne nicht berühren.
... wenn Sie unter Stress bedingten Verspannungen leiden?
Versuchen Sie, mit Ihrem Stress umzugehen. Suchen Sie sich eine Ausgleichsbeschäftigung, die Sie von Ihrem täglichen Einerlei ablenkt und auch für körperlichen Ausgleich sorgt. Autogenes Training oder das Erlernen progressiver Entspannungstechniken können den Umgang mit Stress erleichtern. Eine Reihe attraktiver Kurse für das Erlernen dieser Entspannungstechniken werden von den Krankenkassen angeboten. Fragen Sie Ihren Hausarzt!
Treiben Sie Sport. Selbst ein Spaziergang oder eine andere leichte sportliche Aktivität kann helfen, die Spannungen abzubauen, die zu Bruxismus geführt haben.
... wenn Sie Schmerzen haben?
Wärme. Warme, feuchte Hitze (Waschlappen) oder Rotlicht können im Bereich der Kiefergelenke und der Muskulatur zur Verminderung der Schmerzen führen. Rotlicht sollte in der akuten Phase dreimal täglich im Abstand von 30 Zentimetern vom betroffenen Gebiet angewendet werden. Ein warmes Vollbad kann zusätzlich zur allgemeinen Entspannung beitragen.
Massage. Nach der Erwärmung kann eine örtliche Massage der schmerzhaften Gebiete zusätzlich zur Entspannung beitragen.
Gönnen Sie Ihren Kiefermuskeln eine Pause. Verzichten Sie auf harte und zähe Nahrung (Brötchen, Steaks u.ä.), nehmen Sie mittelweiche Kost zu sich. Wenn die Kiefergelenke und die Kaumuskulatur schmerzen, ist das Kaugummikauen tabu. Außerdem sollte auf langes Sprechen und eine weite Mundöffnung vorübergehend verzichtet werden.
Medikamente. Ibuprofen, Acetylsalicylsäure (ASS), Paracetamol oder Naproxen können bei akuten Schmerzern eine Linderung erzielen. Fragen Sie zur Auswahl des geeigneten Präparates und der entsprechenden Dosierung Ihren Zahnarzt!
(c) 2007 Dr. Matthias Lange
|
|
|
|